恵比寿駅から徒歩1分の歯科。インビザライン、アンチエイジング。

平日 10:00〜13:00 14:30〜18:30  土曜 9:00〜12:00 14:30〜18:30  日曜 11:00〜19:00

[予約専用]050-1807-2639 [直通]03-5791-4618

▼無料精密検査・初診相談のご予約はこちら!▼
オンライン予約
お電話で予約
LINE予約

開院20周年記念 特別キャンペーン

  • アプリによる顔貌
  • 口腔内写真
  • レントゲン撮影
  • CT撮影
  • AI診断
  • 精密検査

一般的な初回の精密検査費用
55,000円がすべて無料!

精密検査とは??
歯並びの状態を精密に撮影・確認」し「矯正完了後の歯並びイメージ」や「具体的な治療方法・期間・料金」を明確に決定するための、矯正治療を行うすべての方が必ず行う検査です。

月平均15症例以上!さまざまな歯並びの症状に対応した多数の治療実績!

上下顎叢生(乱杭歯)

下顎前突(うけ口)

上顎前突・叢生(出っ歯・乱杭歯)

歯間離開(すきっ歯)

過蓋咬合(深い咬み合わせ)

下顎前歯部叢生(後戻り)

無料精密検査・初診相談
お申し込みへ

Instagramでも多くの症例を公開中!

インスタグラムはこちら

初めてでも安心して
始められる、
当院ならではの
マウスピース矯正5つの特徴

顔貌・口腔内・スキャン画像にCTの3D画像を融合察せることにより、これまで不可能であった矯正治療による歯槽骨からの歯根露出の有無を検出でき、骨内での安全な矯正治療を実現できるようになりました。この画期的診断システムにより、治療後の歯牙の動揺や歯肉退縮、歯周病リスクなどを回避できます。


インビザライン ダイヤモンドプロバイダー

治療を担当する専門医は、マウスピース矯正フルインビザライセンスでダイヤモンドステータス(年間150症例以上)を獲得しております。安心して治療をお任せ下さい。

また、20年以上の審美補綴臨床家でもあるため、矯正後のホワイトニング+金属充填物によるセラミック治療で更なる美しさを提供することも可能です。
当院は、矯正だけでなく、口唇・シワのヒアルロン酸、脂肪溶解、ボツリヌス毒素製剤による治療などのアンチエイジング治療で、顔面の若々しさも同時に獲得できる、美容に特化した歯科医院です。


口腔内デジタルスキャナー(iTero)

  • 手で一切触れず、口の中を精密にスキャン
  • 歯並びの詳細情報を即時にモニターで確認

シリコンを使った歯の型取りが不要で、不快感やストレスなく、デジタルスキャンによって、歯並びやや咬合(かみ合わせ)の詳細な情報がリアルタイムで即座に取得できます。患者様と一緒に歯並びの状態を確認しながら、治療計画について、より具体的かつインタラクティブに行います。


歯並び無料AI診断

デジタルスキャナーで取得した詳細なデータをもとに、専用のアプリに取り込むことで、AIが歯並びの結果をリアルに診断し、画面上へシミュレートしてくれます。
際にご自身の顔で違和感なく再現するので、矯正完了後の歯並びや、治療の経過をじっくりと確認することができます。
当院では、このアプリをつかった歯並びAI診断を無料で実施中です!


矯正中の歯並びの動きを完全再現

スキャン結果をもとに、クリンチェックというソフトで歯の動きや変化を予測し、治療結果をシミュレーションすることができます。治療前と治療後の結果をご自身で視覚的に確認して頂けます。

装置の作成

オーダーメイドのマウスピース

デジタルスキャンされた歯並びのデータは、精度の高いアライナー装置を、従来よりも短時間で作成することが出来るので、治療開始、完了までの期間も短縮されます。

インビザラインのメリット

デメリットについて

  • 装置の着用は自己管理でしっかりと行わないと、治療期間が伸びてしまう場合があります。
  • 適応症もあるため、かみ合わせに若干の違和感、痛みを伴う場合もあります。
  • 装置は大切に扱って下さい。プラスチック素材のため、破損、紛失の恐れがあります。

担当ドクターのご紹介

院長・歯学博士

金 成哲 Naruo Kim

主な経歴

1962年12/31

名古屋市に生まれる

1981年 3月

東京都立上野高校卒業

1993年 3月

岐阜歯科大学大学院 (現朝日大学大学院) 学位修得:口腔解剖学

1993-2004年

入船歯科医院 分院長 同年3月退職

2004年 5月

EGDC開院

2022年4月

日本歯科医師会、東京都歯科医師会、渋谷区歯科医師会 入会

2024年5月

インビザライン プラチナエリートを取得

2024年12月

ダイヤモンド ステータスを取得

皆さんへのメッセージ

2024年5月1日に20周年を迎えた当院は、審美歯科・インプラント補綴家として、かみ合わせを専門としてきましたが、この度、満を持してインビザラインマウスピース矯正歯科のフルライセンスを取得しました。

現在までにインビザラインゴーと合わせて、150症例以上を行い、インビザライン・ジャパン認定のプラチナライセンスを獲得し、本年も既に、月間平均15症例以上の実績を重ねております。

20周年への感謝を込めて、初診でのインビザライン無料AI診断を行なっております。

長い臨床経験から導かれたのは、歯並びを改善せずにリスクを放置したままではどんな治療も成功せず、老齢には歯牙が残らないという事実です。それは東京歯科の厳然たる研究結果が物語っています。

無傷の天然歯を美しく正常な歯列に整え、歯科の学問的に理想的なかみ合わせにもっていくことこそが、エチケットやファッションの基本であり、長く歯を残す唯一の方法であると確信しております。

さあ、あなたもいますぐ、世界最先端のテクノロジーをもつインビザラインのシステムで無料診断を受けましょう!さらにその先には、アンチエイジング治療や歯のホワイトニングなどの更なる美しさの実現も当院がサポートします

料金について

デンタルローン利用可:
月々3,000円(税込) 〜

月々の料金や、お支払い回数に関するご相談もOK!
通いながらお支払いも出来て安心。

◆医療費控除対象

ご自身や家族が支払った医療費が一定額を超える場合、最高金額200万円まで所得控除を受けられる制度です。
エクスプレスパッケージ 片顎 440,000円
両顎 550,000円
ライトパッケージ 片顎 550,000円
両顎 660,000円
モデレートパッケージ 片顎 660,000円
両顎 770,000円
コンプリヘンシブパッケージ 両顎 ¥990,000

開院20周年記念 特別キャンペーン

  • アプリによる顔貌
  • 口腔内写真
  • レントゲン撮影
  • CT撮影
  • AI診断
  • 精密検査

一般的な初回の精密検査費用
55,000円がすべて無料!

無料AI診断・初診相談はこちら!
まずはご相談下さい

050-1807-2639
予約専用 平日 10:00〜18:30 
日曜 11:00〜19:00(土曜は16:30まで)
月・祝休

オンライン無料予約

診療時間・交通アクセス

医院名

恵比寿ガーデンデンタルクリニック

診療時間

火〜金 10:00〜13:00 / 14:30〜18:30
9:00〜12:00 / 13:00〜16:30
日・月・祝日 休診日
矯正のみ 日曜診療 11:00〜19:00
Mail:info@egdc.net
<休診時対応クリニック>
広尾デンタルクリニック http://hiroo-dc.net/

アクセス

〒150-0013
東京都渋谷区恵比寿3-9-20  恵比寿ガーデンイーストビル1F

  • 恵比寿ガーデンプレイスより、徒歩1分!
  • ウェスティンホテル東京からも徒歩8分!
  • 広尾駅からも気軽にお越し頂けます。

歯並びによる8020達成率の違い
(※8020:80歳の時に20本以上歯が残っている可能性)

  • 正常咬合 82%
  • 下叢生 29%
  • 上顎前突 15%
  • 過蓋咬合 14%
  • すきっ歯 5%
  • 上叢生 0%
  • 反対咬合 0%
  • 開咬 0%

※全体の8020の達成率: 38%
出典:東京歯科大学 研究結果

8020運動とは

8020運動とは、厚生労働省と日本歯科医師会が提唱している「80歳になっても自分の歯を20本以上保とう」という運動です。
1981(昭和56)年~WHO. FDI が西暦2000年に向けての「歯科保健目標」を提唱。 「50%以上の者が機能歯を20歯維持することが可能となること」などを掲げる(親知らずを除く28本の歯数が基準)

参考リンク
8020とは
https://www.8020zaidan.or.jp/what/
8020 Promotion Foundation
https://www.8020zaidan.or.jp/english/


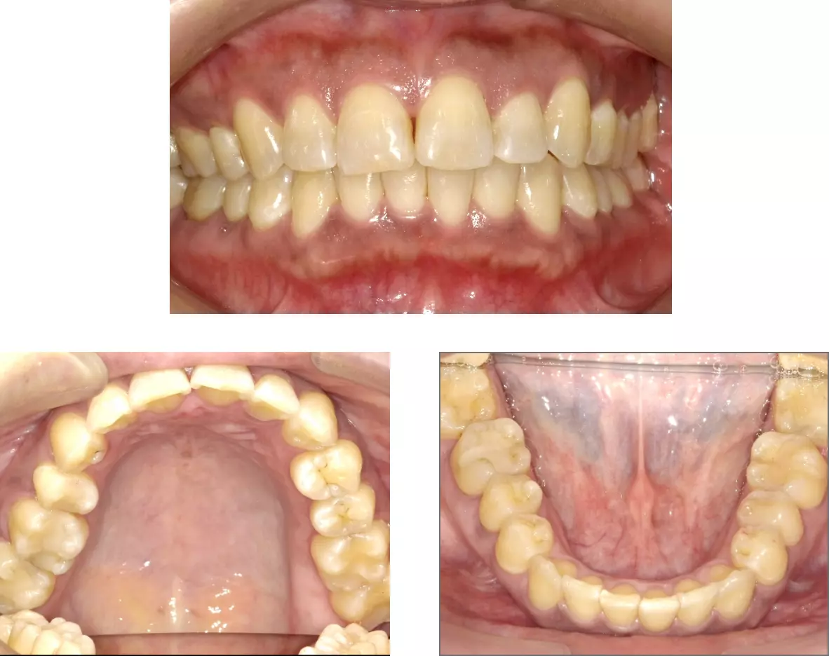
主な治療内容と料金例

Before
After
主訴 乱杭歯:非抜歯治療希望
診断名 上下顎叢生
治療内容 インビザラインシステムによるマウスピース矯正
年齢 46歳
抜歯部位 なし
動的治療期間 3か月20日
治療費 550,000円
リスク・副作用 歯根吸収、歯槽骨の吸収
Before
After
主訴 乱杭歯
診断名 上下顎叢生
治療内容 インビザラインシステムによるマウスピース矯正
治療費 660,000円(ライトパッケージ)
抜歯部位 なし
リスク・副作用 口内炎・移動時の軽度な痛み・知覚過敏
Before
After
主訴 うけ口
診断名 下顎前突
治療内容 インビザラインシステムによるマウスピース矯正
治療費 770,000円(モデレートパッケージ)
抜歯部位 なし
リスク・副作用 口内炎・移動時の軽度な痛み・知覚過敏
Before
After
主訴 乱杭歯
出っ歯・乱杭歯 上顎前突・叢生
治療内容 インビザラインシステムによるマウスピース矯正
治療費 770,000円(モデレートパッケージ)
抜歯部位 なし
リスク・副作用 口内炎・移動時の軽度な痛み・知覚過敏
Before
After
主訴 乱杭歯
すきっ歯 歯間離開
治療内容 インビザラインシステムによるマウスピース矯正
治療費 770,000円(モデレートパッケージ)
抜歯部位 なし
リスク・副作用 口内炎・移動時の軽度な痛み・知覚過敏

矯正治療の流れ

無料精密検査・初診相談はこちら!
まずはご相談下さい

050-1807-2639
予約専用 平日 10:00〜18:30 
日曜 11:00〜19:00(土曜は16:30まで)
月・祝休

オンライン無料予約